Hand & pols
Boksersfractuur
Een boksersfractuur is een gebroken middenhandsbeentje door een vuistslag. Lees meer over de symptomen, diagnose en behandeling van deze metacarpaal fractuur.
Inhoud
Boksersfractuur
Wat is het?
Bij wie komt het voor?
Wat zijn de symptomen?
Hoe stelt de arts de diagnose?
Wanneer naar een volgende stap?
Behandeling
Prognose
Conclusie
Wat is het?
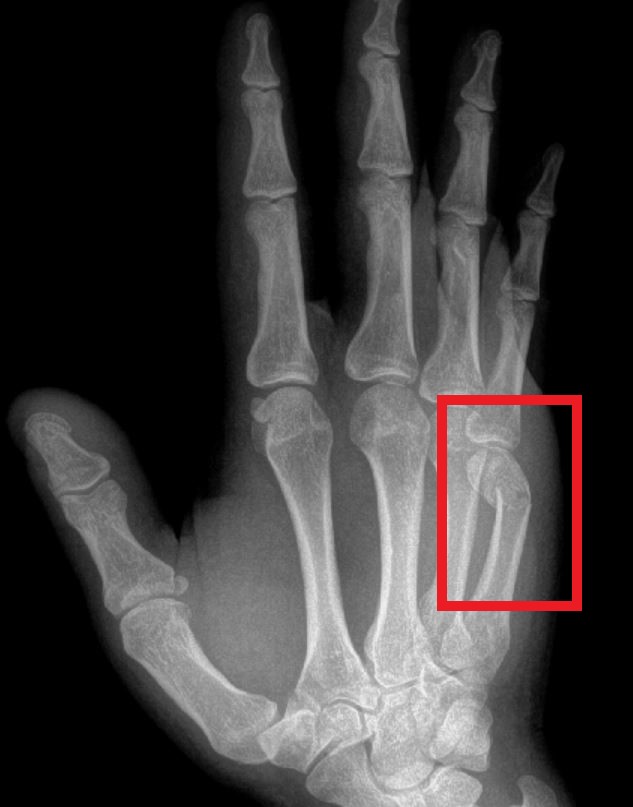
Een boksersfractuur is een breuk van het vijfde middenhandsbeentje, net onder de pink. Dit is een specifiek type metacarpaal fractuur – zo noemen we elke breuk van één van de vijf middenhandsbeentjes in de handpalm. Een boksersfractuur ontstaat klassiek door een vuistslag tegen een hard voorwerp (bijvoorbeeld een muur of tijdens een gevecht). Hierbij breekt meestal de kop van het botje onder de pink. De knokkel van de pink ziet er daardoor ingezakt uit en je kunt soms een voelbare inkeping op de handrug merken.
Verwar een metacarpaal fractuur (middenhandsbreuk) niet met een gebroken handwortelbeentje. Handwortelbeentjes zijn de kleinere botjes in de pols – zoals een scaphoidfractuur in de pols – en is dus iets anders dan een middenhandsbreuk en vergt een andere behandeling.

Bij wie komt het voor?
- Jongeren en volwassenen (trauma): Een boksersfractuur komt vaak voor bij jongere mannen, typisch na agressief gedrag of een ongeluk waarbij men iets hard slaat. Ook bij contactsporten of vechtsporten kan een vuistslag eindigen in een boksersfractuur.
- Verkeer: Bij verkeersongevallen (zoals een val met de fiets of motor) kunnen meerdere middenhandsbeentjes tegelijk breken.
- Arbeidsongevallen: Een metacarpaal fractuur kan ook ontstaan door een zwaar voorwerp dat op de hand valt of de hand beknelt. Bijvoorbeeld een bouwvakker die iets op de hand krijgt, kan een middenhandsbeentje breken.
Wat zijn de symptomen?
Een gebroken middenhandsbeentje geeft directe pijn en functiebeperking van de hand:
- Lokale pijn en zwelling: de handrug rond het gebroken bot is pijnlijk, dik en soms blauw verkleurd. Druk op het gebied van de breuk, bijvoorbeeld op de knokkels, doet duidelijk pijn.
- Verandering van vorm: bij een boksersfractuur is de knokkel van de pink vaak naar beneden gezakt ten opzichte van de andere knokkels. De hand kan er misvormd uitzien, vooral bij meerdere breuken.
- Bewegingsbeperking: het maken van een vuist of bewegen van de betreffende vinger(s) lukt niet goed door de pijn en de afwijkende stand. Vooral kracht zetten (knijpen of iets vastgrijpen) is vrijwel onmogelijk.
- Crepitaties: soms voel je bij bewegen of drukken een krakend/knarsend gevoel op de plek van de breuk. Dit duidt erop dat de botfragmenten langs elkaar schuren.
- Eventueel huidletsel: meestal is de huid intact, maar bij een zeer scherpe breukpunt of slag op een ruw oppervlak kan er een kleine wond zijn. Let op voor een open fractuur (waarbij bot door de huid steekt) – dit vereist dringende medische zorg.
Hoe stelt de arts de diagnose?
De arts zal bij een vermoeden van een boksersfractuur het volgende doen:
- Anamnese of vraaggesprek: Er wordt gevraagd hoe het handletsel is gebeurd. Een verhaal van een vuistslag of harde klap tegen iets duidt al richting een boksersfractuur. De arts vraagt ook naar pijnlocatie (bij de knokkels of handpalm?) en of er gevoelsstoornissen zijn (om zenuwschade uit te sluiten).
- Beeldvorming: Een röntgenfoto van de hand wordt gemaakt om de breuk te bevestigen en details te zien. Op de röntgenfoto is duidelijk zichtbaar welk middenhandsbeentje gebroken is en of de botdelen verplaatst zijn. Soms zijn er meerdere breuken. In de regel volstaat een gewone röntgenfoto. Bij zeer complexe letsels of als er mogelijk schade aan gewrichten is, wordt een aanvullende CT-scan gedaan.
- Klinisch onderzoek: De hand en vingers worden geïnspecteerd op zwelling, stand en blauwe plekken. De arts vergelijkt de knokkels: bij een boksersfractuur is de vierde/vijfde knokkel vaak minder prominent. Ook laat men je (voorzichtig) proberen een vuist te maken; rotatieafwijkingen in de vingerlijn (bijvoorbeeld de pink die onder een verkeerde hoek wegdraait) wijzen op een kromgegroeid bot. Er wordt gevoeld langs het middenhandsbeentje om de exacte pijnplek te bepalen. Ook controleert de arts of de vinger nog gestrekt en gebogen kan worden (passief bewegen om te testen) en of de buig- en strekpezen intact lijken. Beweeglijkheid van de vingers en doorbloeding/gevoel van de vingers worden gecontroleerd.
Wanneer naar een volgende stap?
Behandeling
Net als bij andere botbreuken hangt de behandeling af van de positie van de botstukken en de stabiliteit van de fractuur. De behandeling van een boksersfractuur of andere metacarpale breuk verloopt stap voor stap:
- Stap 1: Eerste hulp: Bij vermoeden van een middenhandbreuk is het belangrijk de hand rust te geven. Verwijder ringen en sieraden meteen (door de zwelling kunnen ze knellen). Hou de hand omhoog (omhoog dragen of in een mitella) en koel met ijs (ingewikkeld in een doek) om zwelling en pijn te verminderen. Een tijdelijke spalk of het tapen van de gebroken vinger aan een buurvinger (buddy tape) kan de pijn verlichten en de metacarpaal fractuur tijdelijk stabiliseren.
- Stap 2: Conservatief (niet-operatief): Veel boksersfracturen kunnen zonder operatie genezen. Als de breuk stabiel is en de stand acceptabel, krijgt de hand 3 à 4 weken immobilisatie. Vaak wordt een gipsverband of kunststof spalk aangelegd van de pols tot aan de ring- en pink (bij een gebroken handwortelbeentje van de pink). Tijdens de gipsperiode wordt na ~1 week een controlefoto gemaakt om te kijken of de stand goed blijft. Na ongeveer 4 weken mag het gips eraf en start je met oefentherapie om de stijf geworden hand weer soepel te maken.
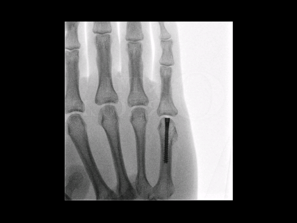
- Stap 3: Operatie: Bij instabiele of complexere breuken kiest men voor een chirurgische ingreep. Indicaties voor operatie zijn bijvoorbeeld: een metacarpaal bot dat in hoekstand staat of verkort is, een boksersfractuur waarbij de fragmenten ver uit elkaar staan, een open breuk. De chirurg kan de botstukken fixeren met metalen pinnetjes (Kirschner-draden) die door de huid steken, of met plaatjes en schroeven op het bot. Soms wordt bij meerdere breuken een combinatie van technieken gebruikt. Na de operatie krijg je meestal een gips of spalk voor een tweetal weken ter bescherming. Hierna begint geleidelijke mobilisatie onder begeleiding van een handtherapeut.

.webp)
Prognose
Een boksersfractuur geneest doorgaans goed. Na ongeveer 4-6 weken is het bot weer aaneengegroeid, en binnen 3 maanden herwinnen de meeste patiënten veel van hun handfunctie. Een ongecompliceerde boksersfractuur leidt zelden tot blijvend functieverlies: de gripkracht in de hand herstelt meestal volledig. Wel kan de knokkel van de pink iets platter blijven staan, wat vooral een cosmetisch verschil is. Na gipsimmobilisatie wordt soms kinesitherapie gestart om stijfheid te verminderen en kracht op te bouwen.
Mogelijke complicaties zijn onder andere: malunion (scheefheling van het bot, wat kan resulteren in een kromstand van de vinger of verminderde knijpkracht), non-union (blijvende gevoelige verbinding als het bot niet vastgroeit, zeer zeldzaam), en stijfheid van hand of vingers door littekenvorming rond de gewrichten. Dankzij goede behandeling zijn deze risico’s klein. Complexe letsels, zoals verbrijzeling of gecombineerd peesletsel, kunnen een langere revalidatie vergen en soms niet volledig herstellen. Gelukkig ervaren veruit de meeste patiënten na een middenhandsbreuk weer een vrijwel normaal handgebruik.
Conclusie
Een boksersfractuur is een veelvoorkomende breuk van een middenhandsbeentje in de hand, meestal door een klap of ongeval. Het is een type metacarpaal fractuur dat zich kenmerkt door een ingezakte knokkel en pijn in de hand. De diagnose wordt gesteld met een röntgenfoto en de behandeling bestaat vaak uit gipsimmobilisatie voor ongeveer een maand. In ingewikkelde gevallen of bij verkeerde stand biedt een operatie met pinnen of plaatjes een goede oplossing, zodat het bot correct geneest. Met de juiste opvolging, inclusief handtherapie na immobilisatie, is de prognose uitstekend: het gebroken middenhandsbeentje groeit doorgaans goed weer aan elkaar en de handfunctie herstelt grotendeels.
Maak een afspraak
Online
Het is mogelijk om je afspraak online vast te leggen via onderstaande link.
Telefonisch
Maak je je afspraak liever telefonisch? Dan kan je terecht bij ons secretariaat:
Maak een afspraak
Maak je je afspraak liever telefonisch? Dan kan je terecht bij ons secretariaat:


