Traumatologie
Scafoidfractuur
Een scaphoidbreuk is een breuk in een polswortelbeentje. Lees over diagnose, behandeling en herstel bij Orthopedie Turnhout.
Inhoud
Scafoidfractuur
Wat is het?
Bij wie komt het voor?
Wat zijn de symptomen?
Hoe stelt de arts de diagnose?
Wanneer naar een volgende stap?
Behandeling
Prognose
Conclusie
Wat is het?
Een scaphoidfractuur is een breuk van het scaphoid, een klein botje aan de duimzijde van de pols. Het scaphoid (ook wel het scheepvormig bot genoemd) is een van de acht handwortelbeentjes in de pols.
Een breuk in dit handwortelbeentje ontstaat meestal door een val op een uitgestrekte hand, vergelijkbaar met de oorzaak van een polsbreuk. In plaats van het spaakbeen (polsbot) breekt in dit geval het scaphoid. Het komt vaker voor bij jongere volwassenen; bij oudere mensen breekt eerder het spaakbeen door botontkalking.
Kenmerkend voor een scaphoidfractuur is pijn aan de duimzijde van de pols. Je voelt vooral pijn in de zogeheten anatomische snuifdoos – het kuiltje aan de basis van de duim, net achter het polsgewricht. Soms is er lichte zwelling in dit gebied. De polsbewegingen (vooral achterover buigen of drukken op de pols) en het bewegen van de duim kunnen pijnlijk zijn.
In tegenstelling tot veel andere breuken is bij een scaphoidbreuk vaak geen duidelijke vervorming of grote zwelling te zien, omdat het een klein bot betreft dat diep in de pols ligt. Hierdoor wordt een scaphoidfractuur soms verward met een verstuiking. Belangrijk alarmteken is echter blijvende pijn in de snuifdoos-regio na een polstrauma.

Bij wie komt het voor?
Een scaphoidfractuur kan iedereen treffen, maar bepaalde groepen lopen meer risico:
- Jongvolwassenen (20-30 jaar): Scaphoidfracturen komen het meest voor bij tieners en jongvolwassenen, vaak bij sportongevallen of verkeersongelukken. Zij vallen bijvoorbeeld tijdens het skateboarden of skieën en vangen zich op met de hand, waarbij het scaphoid kan breken.
- Sporters: Wielrenners en mountainbikers die hard ten val komen met uitgestrekte hand, lopen risico op een scaphoidfractuur. Ook bij contactsporten zoals voetbal of rugby kan een ongelukkige val op de pols dit letsel veroorzaken.
- Mannen: In statistieken ziet men dat scaphoidfracturen vaker bij mannen voorkomen, mogelijk door een hogere mate van risicovol gedrag en sportdeelname.
- Volwassenen met hoog energietrauma: Bij auto- of motorongevallen kan naast andere verwondingen ook een scaphoid botbreuk optreden als de pols fors klapt bij de impact.
Wat zijn de symptomen?
Typische symptomen van een scaphoidfractuur zijn:
- Pijn aan de duimzijde van de pols: direct na het ongeval voel je diepe, scherpe pijn net onder de duim, in het zogeheten snuifdoos-kuiltje. Ook duimbewegingen tegen weerstand (bijvoorbeeld iets tussen duim en wijsvinger knijpen) veroorzaken pijn.
- Drukpijn in de snuifdoos: als je drukt op het gebied tussen de pezen aan de polszijde van de duimbasis, is dat erg pijnlijk.
- Zwelling en blauwe plek: er kan een milde zwelling zichtbaar zijn ter hoogte van het scaphoid, soms gepaard met een blauwige verkleuring. De zwelling is meestal niet zo uitgesproken als bij een polsbreuk van het spaakbeen.
- Bewegingsbeperking: de pols voelt stijf en bewegen is beperkt door de pijn. Vooral het naar achter buigen van de pols (alsof je je hand op de grond duwt) doet pijn. Ook de knijpkracht tussen duim en vingers is verminderd vanwege de pijn.
- Geen duidelijke misvorming: de pols behoudt normaal haar vorm; er steekt doorgaans geen bot uit en de stand van de pols lijkt normaal. Hierdoor kan men ten onrechte denken dat er niets gebroken is.
Omdat de symptomen subtieler zijn dan bij veel andere breuken, wordt een scaphoidfractuur gemakkelijk gemist. Blijvende pijn en drukgevoeligheid in de duimzijde van de pols na een val zijn aanwijzingen om alert te zijn op deze breuk.
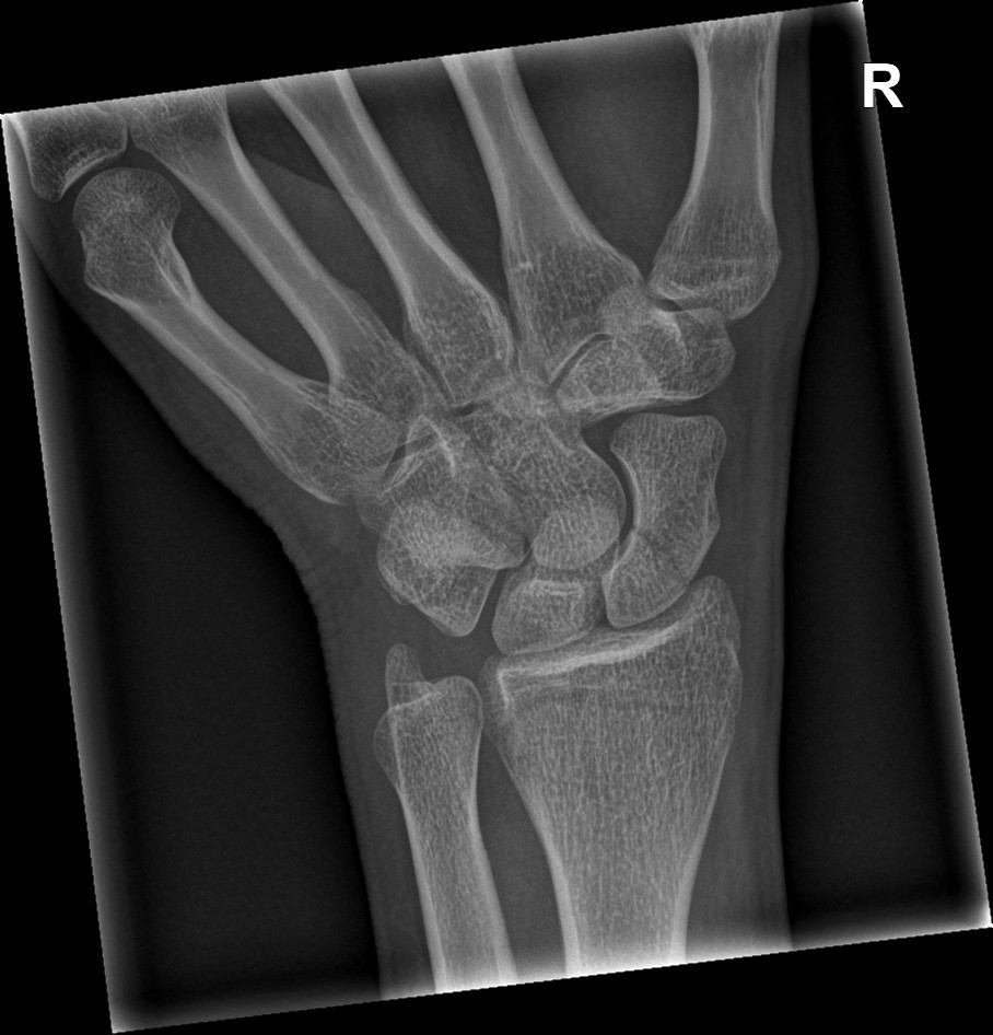
Hoe stelt de arts de diagnose?
De diagnose van een scaphoidfractuur kan uitdagend zijn. De arts doorloopt de volgende stappen:
Anamnese: De arts informeert naar het ongevalsmechanisme (bijvoorbeeld “op hand gevallen”) en vraagt waar de pijn precies zit.
Klinisch onderzoek: Bij het onderzoek let de arts specifiek op de snuifdoos: is het daar gevoelig bij druk of beweging van de duim? Ook wordt de pols in zijn geheel nagekeken op andere letsels en de bewegingsomvang.
Aanvullend onderzoek: Bij vermoeden van een scaphoidfractuur wordt een gerichte röntgenfoto van het polsgewricht gemaakt in specifieke standen om het scaphoid goed te kunnen zien. Vaak blijken kleine scheurtjes of breuken al zichtbaar. Toch kan het gebeuren dat de eerste foto geen afwijking toont, terwijl er wel degelijk een barst in het scaphoid zit. Daarom is het protocol dat, als de pijn blijft, na 10-14 dagen opnieuw röntgenfoto’s gemaakt worden, of meteen een CT-scan om de breuk alsnog aan te tonen. Soms wordt een CT-scan gebruikt om de exacte positie van de breuk en eventuele verplaatsing beter in beeld te brengen, vooral in het kader van operatieve planning.
Het is belangrijk dat een scaphoidfractuur tijdig wordt vastgesteld. Onbehandeld kan zo’n breuk namelijk niet goed genezen, wat leidt tot slechte gewrichtsverhoudingen of slijtage.

Wanneer naar een volgende stap?
Behandeling
Afhankelijk van de breukplaats en stabiliteit zijn er twee hoofdbehandelopties voor een scaphoidfractuur:
Stap 1: Eerste opvang. Na het trauma wordt de pols gestabiliseerd met een spalk en wordt pijnstilling gegeven. De arts beoordeelt het letsel en plant beeldvorming.
Stap 2: Behandeling van de breuk.
Conservatieve behandeling (gips): Indien de breuk niet verplaatst is (stabiel), vroeg wordt opgemerkt en op een gunstige plaats ligt, behandelt men de scaphoidbreuk doorgaans zonder operatie.
- Je krijgt een speciaal gips (een zogenaamde duim- of scaphoidgips) dat zowel de pols als de duim immobiliseert.
- Dit gips draagt men relatief lang: meestal tussen de 6 en 12 weken.
- Het eerste gips wordt vaak na 6 weken verwijderd en er wordt een controlefoto of CT-scan gemaakt om te zien of er genezing is.
- Tijdens de immobilisatie houd je de pols hoog bij rust en beweeg je regelmatig de andere vingers en elleboog om stijfheid te voorkomen.
- Lichte pijnstilling kan helpen tegen de polspijn. Regelmatige opvolging is cruciaal.
Operatieve behandeling: Als de scaphoidfractuur verplaatst is (de botstukken liggen niet goed tegen elkaar), als de breuk op een slechtere plaats van het scaphoid loopt of als conservatief behandelen faalt (breuk geneest niet), is een operatie nodig.
- Schroeffixatie: de chirurg plaatst een metalen schroef in het scaphoid om de stukken bijeen te houden. Dit gebeurt via een kleine snede in de huid of soms middels een kijkoperatie.
- Botgreffe: bij oudere of slecht genezende breuken kan aanvullend botweefsel van elders worden ingebracht om de genezing te bevorderen.
- Postoperatieve immobilisatie: na de operatie krijg je een gips voor bescherming.
Stap 3: Revalidatie. Vervolgens start je voorzichtig met oefentherapie om de pols weer in beweging te krijgen. Een operatie verkort de genezingstijd en verhoogt de kans op consolidatie (goede botgenezing) in moeilijke gevallen.

Prognose
Een scaphoidfractuur staat erom bekend dat de genezing langer duurt dan bij veel andere breuken. Dit komt doordat het scaphoid relatief slecht doorbloed is, vooral het proximale deel (deel meest dichtbij de pols).
Bij tijdige en correcte behandeling groeit de breuk meestal wel vast, maar het kan 2 à 3 maanden duren voor het bot helemaal genezen is, en soms langer. Tijdens de genezing is regelmatig controle nodig.
Een belangrijk risico van scaphoidbreuken is het optreden van non-union: het uitblijven van definitieve botgenezing. Als de botdelen niet aaneengroeien ontstaat een vals gewricht (pseudartrose) wat langdurige pijn en instabiliteit in de pols geeft. Dit kan uiteindelijk leiden tot polsartrose. Factoren die non-union bevorderen zijn onder andere uitgestelde diagnose, een breuk die niet in gips gezet is, of roken (nicotine vertraagt botgenezing).
Gelukkig genezen de meeste tijdig ontdekte scaphoidfracturen met de juiste behandeling goed. Na succesvolle genezing (met of zonder operatie) is de pols weer stabiel en kan je hem terug normaal gebruiken, al kan revalidatie nodig zijn om alle kracht en beweeglijkheid terug te krijgen. In de eerste maanden na genezing blijft zware belasting (zoals intensief steunen op de pols of zwaar tillen) af te raden om het bot niet te overbelasten.
Conclusie
Een scaphoidfractuur is een breuk van een klein polsbotje aan de duimzijde. Dit letsel ontstaat vaak door een val op de gestrekte hand. De symptomen – pijn en drukgevoeligheid in het snuifdoosje van de pols – kunnen in eerste instantie worden verward met een verstuiking.
Het is echter belangrijk om een scaphoidbreuk tijdig op te sporen, omdat onbehandelde breuken slecht genezen. Met een goed aangelegd gips gedurende enkele weken kan een niet-verplaatste scaphoidfractuur meestal genezen. Bij ingewikkelde gevallen zorgt een operatieve schroeffixatie voor herstel.
De revalidatie vergt geduld, maar uiteindelijk kunnen de meeste patiënten hun pols weer normaal gebruiken. Vroeg ingrijpen is essentieel: een op tijd herkende scaphoidfractuur voorkomt chronische polsklachten en instabiliteit na een polstrauma.
Maak een afspraak
Online
Het is mogelijk om je afspraak online vast te leggen via onderstaande link.
Telefonisch
Maak je je afspraak liever telefonisch? Dan kan je terecht bij ons secretariaat:
Maak een afspraak
Maak je je afspraak liever telefonisch? Dan kan je terecht bij ons secretariaat:
Veel gestelde vragen
Wat is een scaphoidbreuk?
Een scaphoidbreuk is een breuk in een van de polswortelbeentjes (het scaphoid). Dit beentje is essentieel voor de bewegingen van de pols.
Hoe herken ik een scaphoidbreuk?
Je voelt pijn in de duimzijde van de pols, zeker in het kleine kuiltje aan de basis van de duim (de snuifdoos). Soms is op de eerste rontgenfoto niets te zien.
Waarom is een scaphoidbreuk gevaarlijk?
Door de bijzondere bloedvoorziening genezen scaphoidbreuken traag en bestaat het risico op pseudoarthrose (niet-genezen) of avasculaire necrose. Tijdige diagnose is cruciaal.
Hoe wordt een scaphoidbreuk behandeld?
Niet-verplaatste breuken krijgen een gips voor zes tot twaalf weken. Verplaatste of onstabiele breuken behandelt de chirurg met een schroef via een kleine ingreep.
Hoelang duurt het herstel?
Het bot heelt in acht tot twaalf weken, soms langer. Volledige polsfunctie keert terug na vier tot zes maanden.
Welke artsen behandelen scaphoidbreuken in Turnhout?
Bij Orthopedie Turnhout volgen Dr. Thierry De Baets, Dr. Marc Mombert en Dr. Anton Borgers scaphoidbreuken op.

.png)

