Totale enkel prothese
Als er artrose in het enkelgewricht is (kraakbeen-slijtage in de enkel) en u hier veel pijn van ondervindt, dan is een enkelprothese mogelijk een goede oplossing voor je probleem.
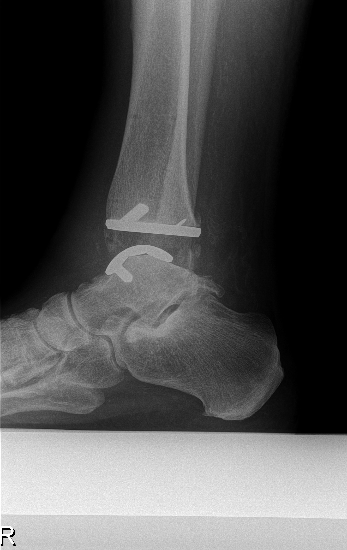
Totale enkel prothese

In AZ Turnhout plaatsen we de Infinity enkelprothese (firma Stryker). Een dun laagje (2 à 3 mm) ziek kraakbeen en onderliggend bot worden verwijderd, en in de plaats wordt een metalen plaatje tegen het bot geplaatst (metalen prothese component). Tussen de twee metalen plaatjes van de prothese komt een plastieken schijfje (poly-ethyleen liner) dat beweging in het enkelgewricht mogelijk maakt. Indien nodig verricht de chirurg nog bijkomende ingrepen aan je voet of enkel om deze mooi recht te krijgen (aligneren) of beter te doen bewegen (bv. achillespees verlenging).

Meteen na de operatie krijg je een kurkenspalk om je been. Hier mag je gedurende 1 week niet op steunen. Na 1 week schakelen we over op een “walking boot” waarmee je mag beginnen stappen. Na twee weken worden de huidhechtingen verwijderd, en start je met revalidatie bij de kinesist in je buurt. Aandacht vooral om de beweeglijkheid van het enkelgewricht te herwinnen, en anderzijds terug een normaal gangpatroon te bekomen.
Na 4-6 weken bescherming in de walking boot, mag je terug je eigen schoenen dragen.
Kinesitherapie loopt verder tot 10-12 weken post-operatief. Dit schema kan individueel aangepast worden op indicatie van de chirurg.

Er bestaan ook een aantal tegen-indicaties voor het plaatsen van een enkelprothese. Ernstig vasculair lijden, diabetes (type I > II), uitgesproken as-afwijkingen (varus of valgus), sequel van klompvoet, (acute) infectie, afgestorven sprongbeen (avasculaire necrose talus), spier-zenuw aantasting (neuro-musculaire aandoening).
Indien u aan een van deze aandoeningen lijdt, bent u vermoedelijk geen goede kandidaat voor een enkelprothese.