Totale Schouderprothese

Het schoudergewricht
Het schouderblad en de kop van de bovenarm vormen het schoudergewricht. Het schouderblad heeft een kleine kom waarin de kop van de bovenarm past. Zowel de kop en de kom zijn bedekt met kraakbeen. Hiertussen bevindt zich een laagje gewrichtsvocht zodat het gewricht soepel kan bewegen. Het geheel wordt omgeven door het gewrichtskapsel.
Wat zijn de klachten?
Door het slijten van het kraakbeen (artrose), kan het gewricht niet meer soepel bewegen. Dit veroorzaakt pijn en stijfheid van het gewricht. Door de irritatie die ontstaat bij het bewegen, wordt ook meer gewrichtsvocht aangemaakt. Hierdoor wordt het gewricht dik.
Wanneer is een schouderprothese nodig?
- Door slijtage in het kraakbeen in de schouder, kunnen ja klachten zo ernstig zijn dat pijnstillers niet meer helpen. De orthopedisch chirurg kan dan samen met jou besluiten om het versleten gewricht te vervangen door een kunstgewricht.
- Bij reumatische ziektes, bijvoorbeeld reumatoïde artritis. Reumatoïde artritis kan een snellere afbraak van het kraakbeen in de schouders veroorzaken.
- Na complexe breuken van de schouder.
- Na het afsterven van de kop in de bovenarm. Dit komt voor als er een tekort aan bloedtoevoer naar de kop in de bovenarm is geweest.
Wanneer welke schouderprothese?
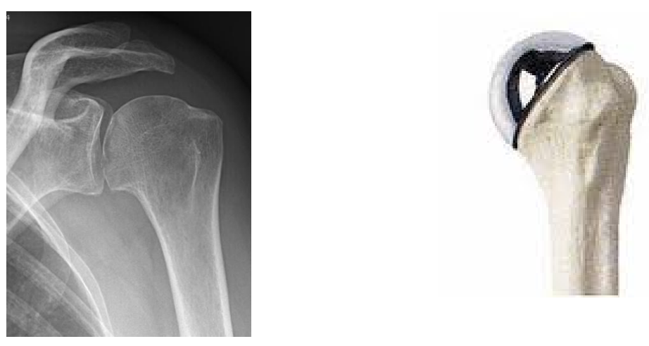
Totale schouderprothese (A1 – A2)
Is bedoeld om een ‘totale’ nieuwe bedekking te geven aan de bol én het kommetje van de schouder. Vaak nodig bij veralgemeende kraakbeenslijtage.

Resurfacing (B)
Als alleen het kraakbeen van de bol versleten is.

Fractuur prothese (C)
Prothese dewelke gebruikt wordt bij breuken van de schouderkop.

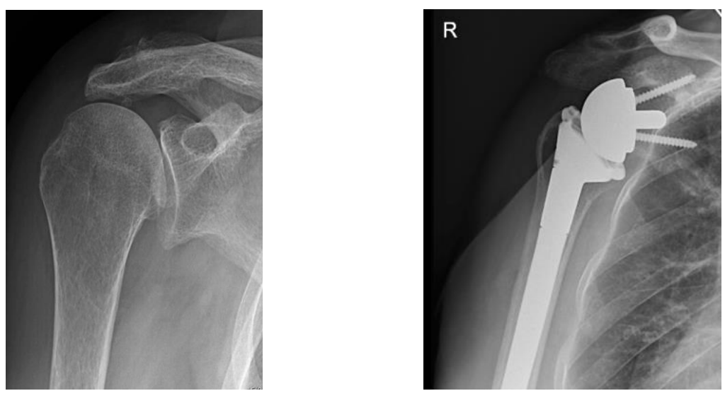
Omgekeerde schouderprothese (D)
In geval van ernstige slijtage in combinatie met een afgescheurde schouderpees, bij onherstelbare invaliderende scheur van de schouderpees of in geval van complexe breuken bij patiënten met slechte bot- en peeskwaliteit.

Persoonlijke opleg
De persoonlijke opleg bij een schouderprothese is sterk afhankelijk van het type prothese. Deze varieert van 150 euro (A1-B-C) tot 450 euro (A2-D). Deze kost wordt meestal gedekt door de hospitalisatieverzekering.
In deze brochure kan je alle informatie vinden over een schouderprothese.