Kraakbeenletsel in de enkel
Bij het omslaan van uw enkel is het mogelijk dat een klein stukje van uw gewrichtskraakbeen beschadigd raakt. Daardoor kan u uw enkelgewricht minder vlot bewegen en krijgt u pijn bij het belasten van de enkel. Soms ‘kraakt’ de enkel ook. Wanneer er een stukje kraakbeen loskomt en rondzwerft in de enkel kan het gewricht geblokkeerd raken. Losliggend of beschadigd kraakbeen geeft een ontstekingsreactie (synovitis) in de enkel. Hierdoor kan de enkel opzwellen en pijnlijk zijn.

Wat?
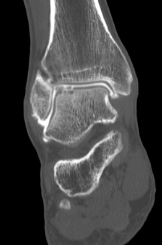
Kraakbeen (hyaliene cartilago) vormt de glijlaag van een gewricht. Schade aan het kraakbeen doet het gewricht minder vlot bewegen, en geeft pijn bij belasten. Soms “kraakt” de enkel ook. Als een stuk kraakbeen loskomt en rondzwerft in de enkel (gewrichtsmuis), dan kan de enkel blokkeren. Losliggend of beschadigd kraakbeen geeft een ontstekingsreactie in de enkel (synovitis). De enkel staat dan pijnlijk gezwollen na belasten.
Oorzaak?
Een enkelverstuiking kan het kraakbeen beschadigen, ook bij een enkelfractuur kan het kraakbeen beschadigd worden.

Bij kinderen kan een bot- en kraakbeen fragment spontaan beginnen loskomen, we spreken dan van “osteochondritis dissecans”.
Behandeling: niet-operatief
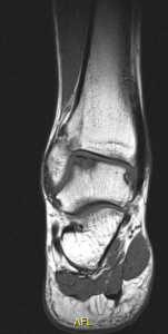
De orthopedisch chirurg zal beslissen of bijkomende onderzoeken nodig zijn (RX, MRI, arthro-CT, SPECT-CT). De grootte, diepte en lokalisatie van een kraakbeenletsel bepalen de behandeling. Een pijnlijk kraakbeenletsel bij de volwassene dient met een ingreep behandeld te worden. Bij kinderen kan een afwachtende houding aangenomen worden, tenzij het bot- kraakbeen-fragment dreigt los te komen: dan is fixatie nodig (of verwijderen als het helemaal is losgekomen).
Behandeling: operatief

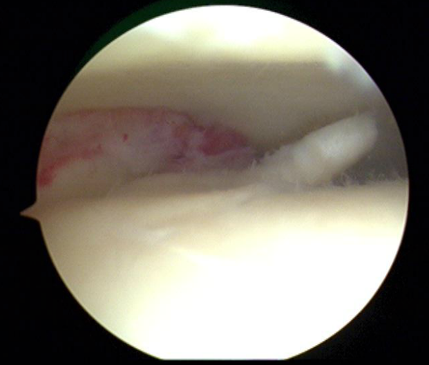
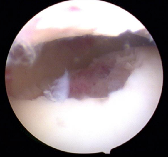
Indien nodig voert de orthopedisch chirurg een kijkoperatie van de enkel uit (arthroscopie). Via kleine steekgaatjes brengt hij een camera en werkinstrumenten in het gewricht. Het zieke kraakbeen wordt verwijderd en het onderliggende bot wordt voorbereid om het ontstane gat terug op te vullen met “litteken-kraakbeen” (fibro-cartilago).
Na de ingreep mag je 4-6 weken niet op de enkel steunen , nadien mag je progressief belasten. Kinesitherapie start na 3-4 weken. Sporthervatting: fietsen en zwemmen na 6 weken, lopen en springen ten vroegste na 4 maanden.

Grote kraakbeen defecten dienen soms via andere technieken aangepakt te worden. De twee meest toegepaste chirurgische behandelingen bij een groot osteochondraal letsel in de enkel (meestal de talus of sprongbeen), zijn een OATS-procedure en een AMIC-procedure.
Bij een OATS-procedure wordt een cilinder bot- en kraakbeen uit de knie (of enkel zelf) geboord, om dan getransplanteerd te worden in het kraakbeen defect in de enkel. Dit is een veel gebruikte techniek met prima resultaat.
Bij een AMIC-procedure wordt het kraakbeen- en botdefect opgevuld met eigen bot, waarna er een kunststof membraan wordt opgelijmd. Dit laat toe dat stamcellen uit het beenmerg zich in deze membraan nestelen en zich transformeren tot nieuw kraakbeen. Vandaar de (engelse) benaming: Auotologous Matrix-Induced Chondrogenesis. Het grote voordeel is dat deze techniek eenvoudig(er) is: er is geen ingreep ter hoogte van de knie nodig, en slechts zelden een osteotomie van de enkel nodig (binnen- of buitenenkel loszagen om voldoende ruimte in de enkel te creëren om deze techniek toe te passen). De resultaten van een AMIC-procedure zijn excellent.


(Met dank aan firma Geistlich voor de foto’s).