Traumatologie
Kniefractuur
Breuk in of rond de knie na val of sportongeval? Kniefractuur diagnose en operatieve behandeling door kniespecialisten in Orthopedie Turnhout.
Inhoud
Kniefractuur
Wat is het?
Bij wie komt het voor?
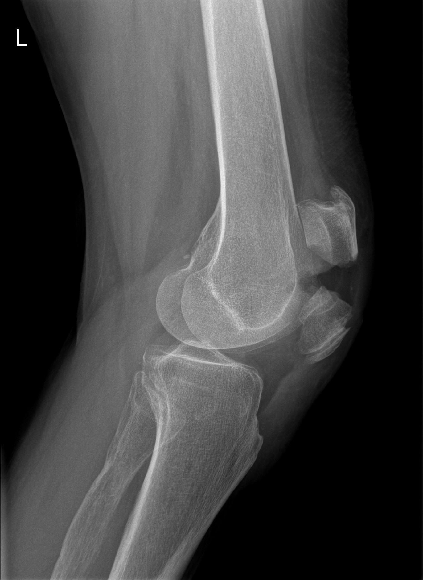
Wat zijn de symptomen?
Hoe stelt de arts de diagnose?
Wanneer naar een volgende stap?
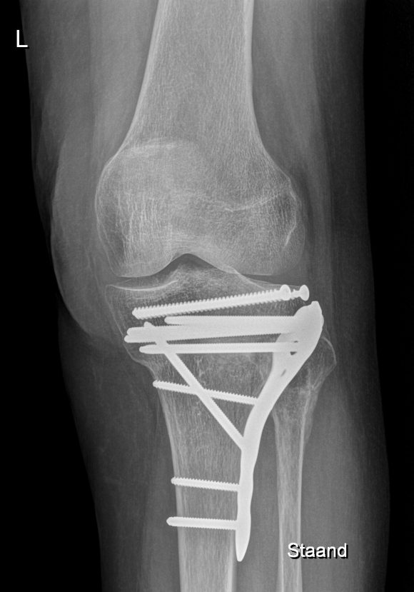
Behandeling
Prognose
Conclusie
Wat is het?
Bij wie komt het voor?
Wat zijn de symptomen?
Hoe stelt de arts de diagnose?
Wanneer naar een volgende stap?
Behandeling
Prognose
Conclusie
Maak een afspraak
Online
Het is mogelijk om je afspraak online vast te leggen via onderstaande link.
Telefonisch
Maak je je afspraak liever telefonisch? Dan kan je terecht bij ons secretariaat:
Maak een afspraak
Maak je je afspraak liever telefonisch? Dan kan je terecht bij ons secretariaat:


