Hallux Rigidus (Stijve grote teen)
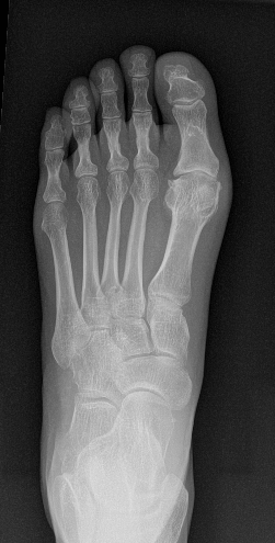
Een verstijving van de grote teen ontstaat door artrose in het teengewricht. Het gewricht verstijft progressief en je kan je teen moeilijker naar boven (extensie) en naar beneden (flexie) bewegen. Aan de bovenkant en de zijkanten van het gewricht komen er botaanwassen (osteofyten) en het gewricht raakt ontstoken en doet pijn.

Wat?
Hallux rigidus betekent dat het gewricht van de grote teen progressief verslijt. De kraakbeenlaag van het gewricht gaat stuk, er komen botaanwassen rond het gewricht (osteofyten) die erg kunnen storen bij schoenen dragen. Uiteindelijk treedt er flinke verstijving en pijn op in het grote teen gewricht bij alle activiteiten. Bij hinder van deze afwijking, kan een operatieve correctie gebeuren.
Oorzaak?
Er zijn verscheidene oorzaken waarom een gewricht kraakbeen slijtage (artrose) kan ontwikkelen. Een eerste oorzaak is een vroeger ongeval (trauma) waardoor het gewricht (kraakbeen) beschadigd is geraakt. Het kan ook gaan om repetitieve mineure traumata (lopers voetballers, springsporten) waarbij de grote teen heel vaak met kracht naar boven beweegt. Vaak is het gewoon spontane (idiopatische) slijtage van het gewricht. Ook ontstekingsziekten zoals jicht en reuma kunnen een gewricht na jaren kapot maken.
Behandeling: niet-operatief
Ontstekingsremmers. Aangepaste schoenen met een ruime teenbox. Sommige mensen met een hallux rigidus ervaren minder klachten met het dragen van steunzolen.
Behandeling: operatief
De orthopedisch chirurg zal je onderzoeken en röntgenfoto’s aanvragen, dan bepaalt hij welke soort ingreep de meest geschikte is.

Een hallux rigidus is een progressieve aandoening. Sommige mensen zijn nog gebaat met het gewricht proper te laten maken en alle botaanwassen te laten verwijderen. Dit noemen we een cheilectomie. Na de ingreep moet je meteen je teen weer soepel en beweeglijk proberen te maken, eventueel met hulp van de kinesist. Revalidatieduur: 8 weken. Na de ingreep mag je meteen steunen in een speciale loopschoen.
Een cheilectomie kan ook worden gecombineerd met een ‘Youngswick’ of ‘Moberg’ osteotomie, hierbij wordt het gewricht ontlast door de grote teen te verkorten. Dit kan het slijtage process sterk afremmen.
Revalidatieduur : 2 tot 3 maanden
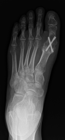
Indien de slijtage in het gewricht te ver gevorderd is, dan is de enige goede operatieve oplossing het vastzetten van het grote teen gewricht. Dat noemen we een arthrodese. Hierbij nemen we alle zieke kraakbeen weg en zetten de botten tegen mekaar vast met schroeven (soms plaat en schroeven). Na de ingreep krijg je 2 weken steunverbod in een spalk, nadien nog 4 weken bescherming in een speciale loopschoen die je vanuit het ziekenhuis reeds meekrijgt. 6 Weken na de ingreep is er een RX-controle om te bevestigen dat het bot goed is vastgegroeid. De totale revalidatie duur van een arthrodese bedraagt 2 tot 3 maanden tot je weer heel vlot alle activiteiten kan doen inclusief sporten.