Epifysiolyse
Epifysiolyse of slipped capital femoral epiphysis (SCFE) is een aandoening die vooral voorkomt in de leeftijd van 10-16 jaar. Het komt meer voor bij jongens dan bij meisjes. Voor de puberteit is er tussen de heupkop en de heuphals nog een zone met groeikraakbeen aanwezig. Wanneer de kop ter hoogte van dit groeikraakbeen van de hals afglijdt dan spreken we van een epifysiolyse. Dit kan acuut of chronisch gebeuren.

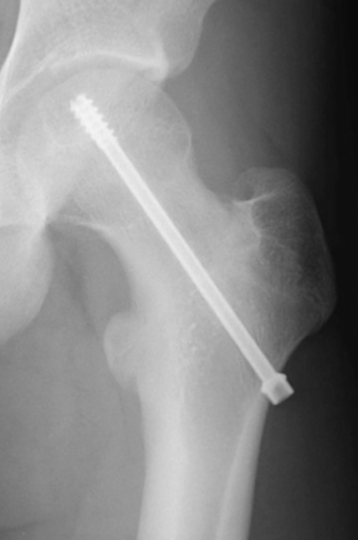
De behandeling zal steeds chirurgisch zijn.
Als de verplaatsing van de kop beperkt is zal deze via een kleine incisie met een schroef gefixeerd worden.


Als de verplaatsing toch groot is dan zal de heupkop chirurgisch terug op de goede plaats gezet worden en eveneens gefixeerd worden met 3 pinnen. De ingreep gebeurt via een surgical dislocation.
Na beide ingrepen geldt er 6 weken steunverbod.


