Polsfractuur

Een polsfractuur is een veelvoorkomend letsel waarbij een van de botten in de pols breekt als gevolg van verschillende oorzaken, zoals valpartijen, ongelukken of sportblessures. De pols bestaat uit verschillende botten, waaronder het spaakbeen, de ellepijp en de handwortelbeentjes. Het betreft meestal een fractuur van het uiteinde van het spaakbeen naar de hand toe. Eventueel kan er ook een breuk zijn in de ellepijp.
Symptomen van een polsfractuur zijn onder andere:
- Pijn en gevoeligheid: Ernstige pijn en gevoeligheid in het polsgebied zijn veelvoorkomende symptomen. De pijn kan toenemen bij beweging.
- Zwelling en blauwe plekken: Zwelling en blauwe plekken kunnen optreden als gevolg van weefselschade en bloeding.
- Beperkte beweging: Het bewegen van de pols en hand kan beperkt zijn vanwege de breuk.
- Verandering in polsvorm: Bij ernstige breuken kan er een zichtbare verandering in de vorm van de pols zijn.
- Moeilijkheid met grip: Het vastpakken van objecten kan moeilijk zijn vanwege pijn en verminderde beweging.

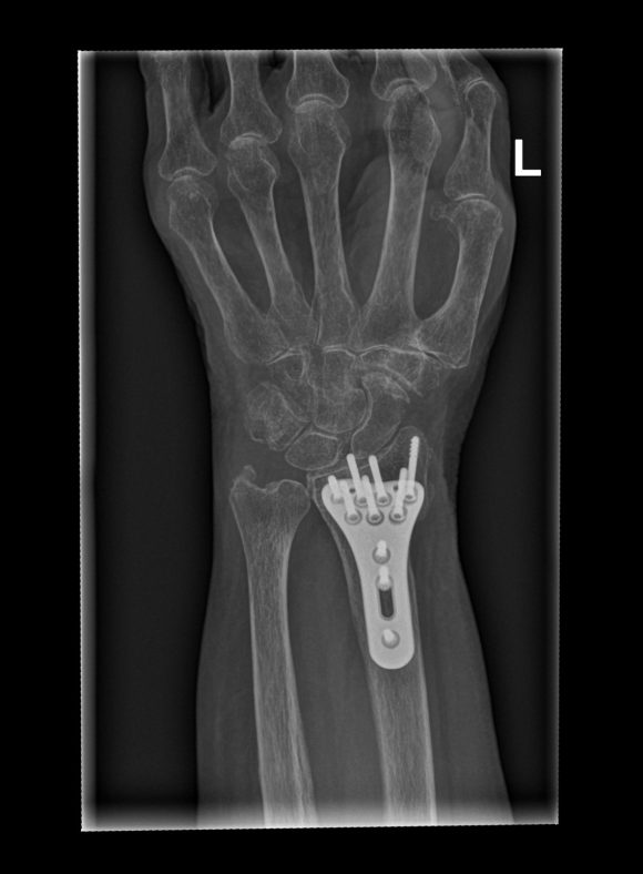
De behandeling van een polsfractuur hangt af van de aard en ernst van de breuk. Bij niet-verplaatste breuken kan conservatieve behandeling nodig zijn, waaronder gipsimmobilisatie gedurende een 6-tal weken, rust en pijnstillers. Indien er wel een operatie nodig is, wordt de breuk goed gezet en met een plaat en schroeven gefixeerd. Na 2 weken mag de patiënt dan meestal reeds bewegen met de pols zonder kracht te zetten
Het herstel varieert, maar fysiotherapie kan helpen om de bewegingsmogelijkheden en spierkracht in de pols en hand te herstellen. Vroege diagnose is belangrijk voor een effectieve behandeling en een snel herstel. Als je denkt dat je een polsfractuur hebt opgelopen, is het raadzaam om direct medische hulp in te schakelen.
.