Traumatologie

Dijbeenfractuur

Inhoud

Dijbeenfractuur

Wat is het?

Bij wie komt het voor?

Wat zijn de symptomen?

Hoe stelt de arts de diagnose?

Wanneer naar een volgende stap?

Behandeling

Prognose

Conclusie

Maak een afspraak

Online

Het is mogelijk om je afspraak online vast te leggen via onderstaande link.

Telefonisch

Maak je je afspraak liever telefonisch? Dan kan je terecht bij ons secretariaat:

Maak een afspraak

Maak je je afspraak liever telefonisch? Dan kan je terecht bij ons secretariaat:

Jouw arts(en)

No items found.

Lees ook

No items found.
Traumatologie
Behandelingen

Dijbeenfractuur

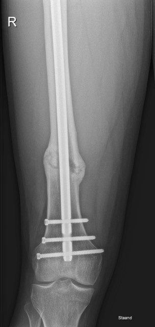
Dit is een fractuur van het bovenbeen. Jonge mensen lopen dit op door een zwaar trauma, ouderen of mensen met ziek bot kunnen dit bij een banale val oplopen.

De behandeling is steeds heelkundig en quasi altijd met een nagel die in het dijbeen zelf wordt ingebracht via een kleine insnede aan de zijkant van het bovenbeen. Die nagel wordt daarna met enkele schroeven boven en onder de breuk gefixeerd. 

In het algemeen mag de patiënt na de operatie onmiddellijk steunen op het geopereerde been. De genezing van dit bot duurt meestal een drietal maanden.

Maak een afspraak
Het is mogelijk om je afspraak online vast te leggen via onderstaande link.
Maak een online afspraak
Maak je je afspraak liever telefonisch? Dan kan je terecht bij ons secretariaat.
Bel campus Sint-Jozef
Bel campus Sint-Elisabeth

Wij maken gebruik van cookies

We maken gebruik van cookies om gegevens m.b.t. de prestaties en het gebruik van deze website te verzamelen & analyseren, om sociale netwerkfunctionaliteiten aan te bieden en onze content & advertenties te verbeteren en personaliseren. Bekijk onze privacy policy voor meer informatie.